Chi tiết 7+nha khoa cạo vôi răng giá rẻ tốt uy tín tại Bình Tân hỗ trợ tận tâm, làm sạch mảng bám hiệu quả, giúp bạn có sức khỏe răng miệng tốt, tối ưu chi phí.
Chọn nha khoa cạo vôi răng giá rẻ tốt uy tín tại Bình Tân không dễ nhưng cũng không phải là điều quá khó khăn. Chỉ cần bạn xem 7+ gợi ý được Nha Khoa Hoa Kỳ cập nhật trong bài sau sẽ tìm được địa chỉ làm sạch vôi răng chuyên nghiệp, sở hữu báo giá phải chăng giúp vệ sinh răng hiệu quả.
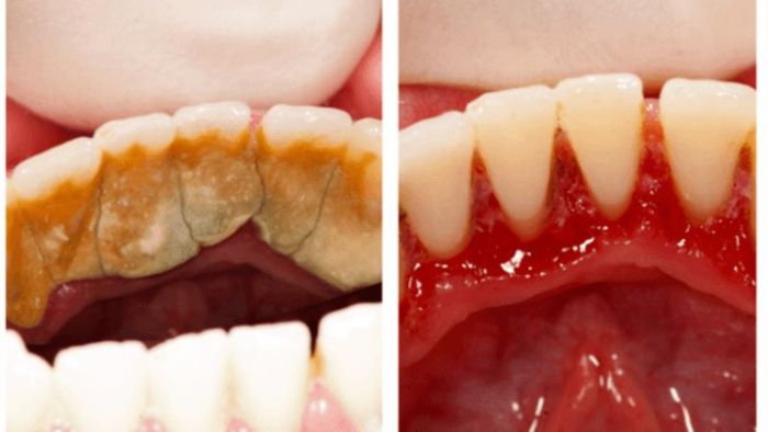
Nha khoa Hoa Kỳ
Nhắc đến nha khoa cạo vôi răng giá rẻ tốt uy tín tại Bình Tân thì Nha Khoa Hoa Kỳ luôn là cái tên mà nhiều khách hàng nhớ đến. Ở đây, vấn đề vôi răng của bạn sẽ được xử lý bằng hệ thống máy móc hiện đại, đảm bảo loại bỏ mảng bám cứng đầu một cách êm ái, không gây ê buốt, không làm tổn thương men răng.
Mức giá cạo vôi răng ở Nha Khoa Hoa Kỳ vô cùng cạnh tranh, có nhiều chương trình ưu đãi được triển khai liên tục trong năm. Vì vậy, chi phí vốn đã hấp dẫn càng trở nên tiết kiệm hơn nhiều.

Đội ngũ bác sĩ của nha khoa luôn tận tâm và tỉ mỉ khi làm việc, kể cả với kỹ thuật đơn giản như cạo vôi răng. Mỗi bước thực hiện đều đảm bảo tuân thủ quy trình y khoa, để cao an toàn và sự thoải mái, hài lòng của khách hàng lên trên hết.
Nha khoa Bình Dân
Nhiều người dân ở Bình Tân luôn tin tưởng chọn nha khoa Bình Dân khi cần chăm sóc răng miệng, nhất là khi cần cạo vôi răng. Đơn vị không chỉ đảm bảo quá trình thực hiện nhẹ nhàng, không ê buốt, không chảy máu. Công nghệ hiện đại được ứng dụng giúp kết quả làm sạch nhanh chóng, an toàn.
Nha khoa Bình Dân cũng cạo vôi răng khá rẻ, từ 120.000 – 200.000 VNĐ. Không chỉ có được hàm răng sạch khỏe, nha khoa còn giúp bạn tiết kiệm ngân sách và hài lòng với những gì trải nghiệm khi đến đây.
Nha khoa ViDental Clinic
Nhiều năm qua, ViDental Clinic được biết đến là chuỗi nha khoa hiện đại sở hữu không gian khám chữa bệnh sang trọng ở nhiều nơi tại TP.HCM. Trong đó có quận Bình Tân. Dịch vụ ở đây sử dụng sóng siêu âm giúp làm sạch vôi răng nhanh, êm và không bị ê buốt hay chảy máu. Quy trình thực hiện luôn được đảm bảo chuyên nghiệp, vô trùng tuyệt đối.Dù dịch vụ chất lượng với công nghệ hiện đại nhưng báo giá cạo vôi răng ở nha khoa ViDental Clinic lại khá “mềm” khiến không ít khách hàng ngạc nhiên khi tìm đến.

Nha khoa Nam Anh
Nếu bạn đắn đo chưa biết phải đến địa chỉ nào để tìm đúng nha khoa cạo vôi răng giá rẻ tốt uy tín tại Bình Tân thì đừng bỏ qua dịch vụ ở đây. Nha khoa Nam Anh luôn chinh phục khách hàng bằng chất lượng làm sạch vôi răng nhanh chóng, nhẹ nhàng cùng mức giá hợp lý.
Quá trình loại bỏ mảng bám ở đây không gây đau nhức, ê buốt và không làm hại men răng. Nam Anh luôn đề cao tính an toàn cũng như lợi ích của khách hàng lên trên hết. Nha khoa hỗ trợ đặt lịch online để giúp khách hàng linh hoạt theo giờ giấc sinh hoạt, tránh phải đợi lâu khi đến trải nghiệm dịch vụ.
Nha khoa Asia
Điểm đến này rất quen thuộc với các khách hàng cần cạo vôi răng hay sử dụng các dịch vụ tân trang, làm đẹp răng miệng khác. Asia là thương hiệu nha khoa uy tín, có nhiều cơ sở hoạt động khắp TPHCM và các tỉnh lân cận. Tại cơ sở ở Bình Tân, nha khoa Asia ghi điểm với không gian sạch sẽ, thiết bị hiện đại cùng đội ngũ bác sĩ chuyên môn cao.

Không chỉ cạo vôi răng sạch, không đau, không ê buốt mà mức giá dịch vụ cũng được niêm yết phải chăng, phù hợp với túi tiền của nhiều khách hàng, kể cả người lao động bình dân hay học sinh, sinh viên.
Nha khoa Ý Đức
Nha Khoa Ý Đức chinh phục khách hàng khi đến cạo vôi răng bằng phong cách làm việc chuyên nghiệp, quy trình thăm khám kỹ càng trước khi làm sạch răng miệng. Nha khoa sử dụng thiết bị hiện đại giúp loại bỏ vôi răng nhẹ nhàng mà không làm tổn hại đến men răng. Đặc biệt, giá cạo vôi răng tại Ý Đức thấp hơn nhiều so với thị trường chung, từ 140.000 – 180.000 VNĐ/lần.. Nha khoa cũng thường xuyên có ưu đãi nên lợi ích tiết kiệm luôn là điều mà ai đến đây cũng phải công nhận.
Nha khoa HD Misa
Trong danh sách nha khoa cạo vôi răng giá rẻ tốt uy tín tại Bình Tân luôn có tên HD Misa. Nha khoa đã hoạt động lâu năm và tạo được niềm tin vững chắc trong lòng khách hàng nhờ chi phí rẻ, báo rõ ràng trước khi thực hiện. Kỹ thuật cạo vôi răng tại nha khoa HD Misa cũng được đánh giá cao khi không chỉ làm sạch sâu dưới nướu mà còn không làm hại men răng và không gây đau hay chảy máu.

Nha khoa City Smiles
Lý do nha Khoa City Smiles ngày càng được các khách hàng ở Bình Tân tin tưởng tìm đến là bởi hỗ trợ dịch vụ thân thiện, chuyên nghiệp, đặc biệt là cạo vôi răng. Quy trình thực hiện nhẹ nhàng bằng thiết bị tiên tiến, giúp loại bỏ mảng bám nhanh, không gây khó chịu hay ê buốt.
Nha khoa còn cạnh tranh hiệu quả với bảng giá tốt, luôn báo công khai trước khi thực hiện. Khách hàng đến đây không cần lo lắng các phí ẩn phát sinh và yên tâm với lợi ích tiết kiệm cho túi tiền của mình.
Hy vọng danh sách top 7+ nha khoa cạo vôi răng giá rẻ tốt uy tín tại Bình Tân được chia sẻ ở trên đều là các đơn vị đang nhận được đánh giá rất cao trên thị trường. Bạn hãy tham khảo để cân nhắc chọn được nơi đáng tin để đến và chăm sóc răng miệng với phí ưu đãi nhất. Nếu bạn vẫn đắn đo chưa có được lựa chọn hài lòng hãy để Nha Khoa Hoa Kỳ đồng hành cùng bạn. Với ưu điểm về chất lượng dịch vụ cùng mức giá hợp lý tại nha khoa, bạn chắc chắn sẽ không thất vọng khi trải nghiệm.

