Toplist nha khoa cạo vôi răng giá rẻ tốt uy tín Phường Tân Sơn Nhì TP HCM được đánh giá cao về công nghệ tiên tiến giúp làm sạch hiệu quả, không ê buốt.
Để xử lý cao răng hiệu quả, an toàn với chi phí tiết kiệm thì bạn cần tìm được địa chỉ đáng tin cậy. Với những ai lần đầu trải nghiệm dịch vụ này có thể tham khảo 7+ nha khoa cạo vôi răng giá rẻ tốt uy tín Phường Tân Sơn Nhì TP HCM sắp được chia sẻ trong bài sau để yên tâm sở hữu hàm răng sạch bóng, hơi thở thơm mát và giúp ngăn ngừa bệnh lý răng miệng hiệu quả.
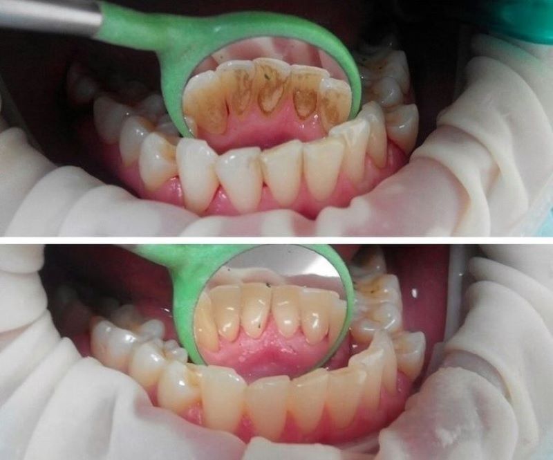
Nha khoa Hoa Kỳ
Đây là địa chỉ nha khoa cạo vôi răng giá rẻ tốt uy tín Phường Tân Sơn Nhì TP HCM nổi tiếng, thu hút lượng lớn khách hàng tìm đến mỗi năm. Với gần 30 năm hoạt động, Nha khoa Hoa Kỳ đã cung cấp rất nhiều dịch vụ chăm sóc, thẩm mỹ, điều trị răng miệng. Với kỹ thuật cạo vôi răng tại đây, bạn sẽ được:
– Trải nghiệm thiết bị hiện đại, đảm bảo vô trùng tuyệt đối.
– Bác sĩ thao tác nhẹ nhàng, không gây chảy máu chân răng, không làm ê buốt khi ăn uống.
– Chi phí được nha khoa báo rõ ràng và không phát sinh bất cứ phí ẩn nào khác.
– Được bác sĩ tư vấn cụ thể cách chăm sóc răng miệng sau khi cạo vôi răng để ngăn ngừa các bệnh lý phát sinh.

Nha khoa 3T
Nơi đây ghi điểm với dịch vụ tận tâm cùng đội ngũ bác sĩ thân thiện, nhiệt tình. Tại nha khoa 3T, bạn sẽ được cạo vôi răng nhẹ nhàng, nhanh chóng chỉ khoảng 15 – 20 phút. Phương pháp làm sạch vôi răng được ứng dụng ở đây không chỉ đạt chuẩn theo quy định của Bộ y tế mà còn được cam kết không ê buốt hay khó chịu cả trong và sau khi làm sạch răng.
Nha khoa Phước An
Với chi phí ưu đãi, quy trình thực hiện chuyên nghiệp cùng tác phong phục vụ chuyên nghiệp, tận tâm, nha khoa Phước An luôn được khách hàng đánh giá cao sau khi tìm đến. Đây cũng là một trong các nha khoa cạo vôi răng giá rẻ tốt uy tín Phường Tân Sơn Nhì TP HCM nổi tiếng về độ an toàn với các cam kết đáng tin đi kèm như không gây viêm nướu, không đau nhức,…

Nha khoa Tâm Đức
Chọn Tâm Đức là cách đơn giản để bạn tìm được nha khoa có phí hấp dẫn cùng chất lượng cạo vôi răng vượt trội. Dịch vụ ở đây được thực hiện với quy trình gồm: Cạo vôi răng, đánh bóng răng và làm sạch chân răng. Với sự hỗ trợ này, răng miệng của bạn sẽ luôn sạch khuẩn và ngăn ngừa các bệnh lý một cách hiệu quả.
Nha khoa Asia
Ấn tượng đầu tiên của nhiều người khi đến nha khoa cạo vôi răng giá rẻ tốt uy tín Phường Tân Sơn Nhì TP HCM này chính là cơ sở khang trang, sạch sẽ. Các thiết bị được dùng để cạo vôi răng cũng đều là dòng hiện đại cùng với tay nghề bác sĩ giỏi. Quá trình làm sạch cao răng ở đây luôn đảm bảo nhẹ nhàng, an toàn và không lo các phát sinh như đau nhức, chảy máu chân răng, ê buốt.

Nha khoa SAIDO
Điểm nổi bật khi đến SAIDO chính là cơ sở khang trang cùng sự nhiệt tình, thân thiện của nhân viên cùng các bác sĩ ở đây. Bạn không chỉ được làm sạch cao răng nhẹ nhàng, nhanh chóng mà còn hài lòng với mức phí hấp dẫn, không lo các phụ phí nào khác phát sinh.
Nha khoa Anh Dental
Ngày càng nhiều người chọn Anh Dental khi tìm nha khoa cạo vôi răng giá rẻ tốt uy tín Phường Tân Sơn Nhì TP HCM. Với thâm niên trong nghề cùng uy tín đáng tin cậy, không chỉ với kỹ thuật cạo vôi răng mà các dịch vụ thẩm mỹ, điều trị nha khoa ở đây luôn được khách hàng đánh giá cao về hiệu quả. Các bác sĩ trước khi cạo vôi răng cũng sẽ tiến hành khám tổng quát để đảm bảo không bỏ sót các vấn đề phát sinh đối với sức khỏe răng miệng của bạn như viêm nha chu, tụt lợi,… Từ đó, Anh Dental có thể giúp bạn lựa chọn phương án khắc phục từ sớm.

Nha khoa ViDental Clinic
Quy trình cạo vôi răng tại ViDental Clinic luôn thực hiện chuẩn chỉnh với đầy đủ các bước được Bộ y tế quy định. Bạn không chỉ được làm sạch cao răng mà còn được đánh bóng răng, kiểm tra tình trạng răng miệng để sớm phát hiện các bệnh lý tiềm ẩn. Nhiều năm qua, các khách hàng đến nha khoa ViDental Clinic cũng rất hài lòng khi nơi đây có chi phí báo công khai và luôn cạnh tranh trên thị trường.
Chỉ cần tìm đúng nha khoa cạo vôi răng giá rẻ tốt uy tín Phường Tân Sơn Nhì TP HCM, bạn sẽ có được hàm răng sạch khỏe và ngăn ngừa những bệnh lý phát sinh khác. Vì vậy, bạn đừng bỏ qua 7+ gợi ý được cập nhật ở bài trên, đặc biệt là Nha khoa Hoa Kỳ. Địa chỉ này không chỉ được khách hàng ở Phường Tân Sơn Nhì mà cả khu vực TPHCM cùng các tỉnh lân cận lựa chọn tìm đến để chăm sóc, điều trị răng miệng an toàn, tiết kiệm và hiệu quả.

